我院心内科多学科协作诊治 成功开展阵发性房颤射频消融+左心耳封堵一站式手术
2022-06-17
日前,72岁的杨某因突发右侧肢体无力入我院卒中中心后考虑急性脑梗塞,立即行溶栓治疗后肢体肌力基本恢复。但患者反复发作阵发性心房颤动,房颤转复窦律时出现最长6秒的心脏停搏,情况十分危急。我院肖骏副院长立即组织神经内科、心脏内科会诊,考虑患者本次为房颤合并心源性脑卒中,而房颤后的心脏停搏为“快-慢综合征”,在房颤纠正后可以避免安置心脏起搏器。但患者为脑梗塞急性期,可能因启动抗凝过早发生脑出血而危及生命。为此,神经内科与心内科积极协作,在安置临时心脏起搏器后密切观察的情况下启动抗凝治疗。
但患者仍间断发作房颤后心脏停搏,无法停用临时起搏器,而长期安置临时起搏器及卧床势必带来更多的不可控的风险且影响脑梗塞后的康复治疗。但脑梗塞后1月内行房颤手术的风险较择期手术高,国内目前相关经验较少。为此,由医务科许毅科长协调,组织心内科、神经内科、胸心外科、神经外科及麻醉科等相关科室进行了多学科会诊,决定根据最新的房颤诊疗指南,考虑患者阵发房颤、快-慢综合征,同时出血风险较高,决定行全麻下房颤射频消融+左心耳封堵一站式手术。


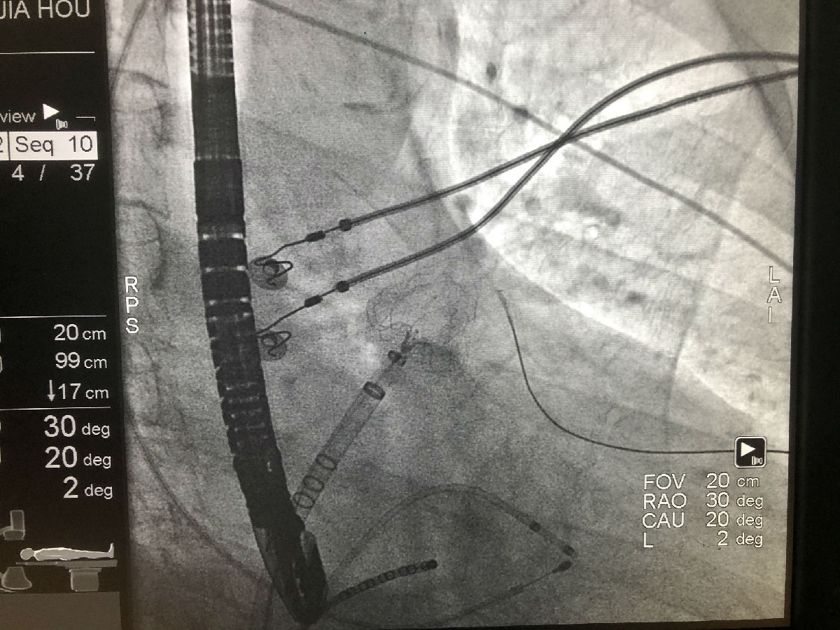
2022年6月15日,在肖骏副院长的带领下,李传伟、汪浩、冉阳、徐刚医师等心内科电生理及结构性心脏病团队共同协作,在超声科、麻醉科、影像科的配合下成功完成房颤射频消融+左心耳封堵一站式手术。术中克服左房偏大、心耳轴向欠佳等困难,成功完成肺静脉电隔离及左心耳的封堵,术中术后超声验证封堵器稳定,无残余分流。


肖骏副院长术后表示,目前人口老龄化加剧,全国房颤患者已高达1200万。房颤患者面临心源性卒中、心衰加重、心悸甚至晕厥等风险。我院拥有“中国房颤中心”及“国家高级卒中中心”,通过相关科室的多学科沟通和协作,以病人为中心,并积极开展房颤射频消融、冷冻消融及左心耳封堵等新技术,并结合病人情况开展一站式手术,创伤小、患者恢复快,收到良好的治疗效果。