新闻中心
重庆大学附属中心医院与重庆大学生物工程学院联合培养首届医工融合硕士研究生答辩会顺利举行
心中的颂歌献给伟大的党 ——重庆市老卫生科技工作者协会急救中心分会为建党100周年献礼
第九届两江创伤医学学术会议暨首届成渝双城经济圈创伤医学论坛、2021年重庆市医师协会创伤医师分会年会成功举办
首届“成渝地区双城经济圈创伤医学论坛”在重庆市急救医疗中心/重庆大学附属中心医院成功举办
重庆市急救医疗中心 开展“5·12”国际护士节系列活动
重庆市急救医疗中心举办“5·12”国际护士节庆祝大会暨“建党百年守初心,牢记使命展风采”护士演讲比赛
锦上添“科 ” 服务增彩 ——学科布局更优化,服务能力再提升
重庆市急救医疗中心心血管内科 成功开展卵圆孔未闭(PFO)封堵术
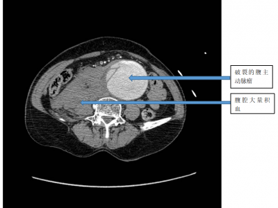
“不定时炸弹”——腹主动脉瘤
重庆市急救医疗中心召开2021年党建工作暨党风廉政建设会议
加载更多
共62页
上一页
1
...
34
35
36
37
38
39
40
...
62
下一页